Skip Menu
Continue
  • 21 Charles Street,
  • Holliston, MA 01746
  • Home
  • About Us
    • Our Office
    • New Patients
    • Smile Gallery
    • Dental Videos
    • Reviews
    • In House Saving Plan
  • Our Doctor
    • Mahesh Sajjupalli, DDS
  • Services
      • Ceramic Crowns
      • Dental Bridges
      • Dental Cleanings
      • Dental Fillings
      • Dentures
      • Emergency Treatment
      • Extractions
      • Implant Dentistry
      • Oral Cancer Screening
      • Oral Exams
      • Periodontal Treatment
      • Preventive Program
      • Root Canals
      • Teeth Whitening
      • TMJ Disorders
      • Veneers
    • View All
  • Dental Health
  • Contact
    • Contact Us
    • Request Appointment

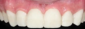
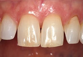
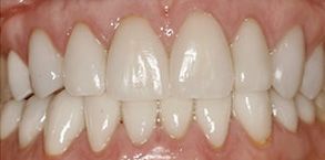
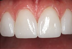
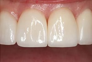
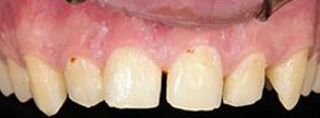
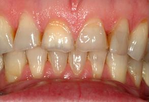
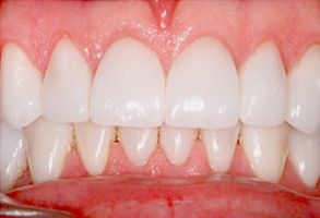
Smile Gallery

Additional Information

Our Location

21 Charles Street
Holliston, MA 01746
(508) 474-3637

Follow Us

We are Vaccinated